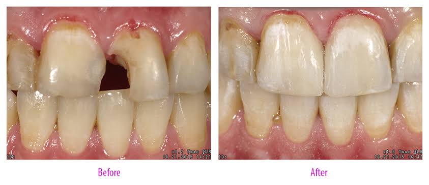
Tooth Colored Composite Filling also known as light-cured or light-activated fillings, involve the use of a special dental curing light to harden or "cure" the dental filling material. This type of filling is typically made of a composite resin material that can be shaped and molded to match the natural color and contour of the tooth.

Here's how the process typically works:

  1. Preparation: The dentist will first prepare the tooth by removing any decayed or damaged material and cleaning the area.
  2. Placement of Filling: Once the tooth is prepared, the dentist will apply the composite resin material in layers, shaping and sculpting it to fit the tooth precisely.
  3. Curing: After each layer of filling material is applied, it needs to be hardened or cured using a special dental curing light. This light activates chemicals in the filling material that cause it to harden within seconds.
  4. Final Shaping and Polishing: Once all the filling material has been applied and cured, the dentist will further shape and polish the filling to ensure it blends seamlessly with the natural tooth surface.

Curing light tooth fillings offer several advantages:

  1. Quick Hardening: The use of a curing light allows the filling material to harden rapidly, reducing the overall time required for the procedure.
  2. Strong Bond: Light-cured fillings typically bond well to the tooth structure, providing a durable and long-lasting restoration.
  3. Tooth-Colored: Composite resin fillings can be color-matched to the natural shade of the tooth, providing a more aesthetically pleasing result compared to traditional silver amalgam fillings.
  4. Minimally Invasive: Light-cured fillings require less removal of healthy tooth structure compared to amalgam fillings, as they can be bonded directly to the tooth surface.

Overall, curing light tooth fillings are a popular choice for restoring decayed or damaged teeth due to their durability, aesthetics, and minimally invasive nature.